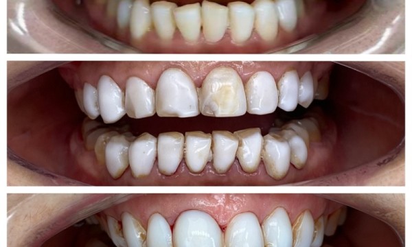
美容院牙贴面踩坑?齿艺美学铒激光帮你重获微笑

美容院牙贴面踩坑?齿艺美学铒激光帮你重获微笑

不少爱美人士为图便捷,选择在美容院做牙贴面,却深陷美观与健康的双重危机。非专业机构缺乏口腔诊疗资质,既无科学美学设计体系...
骏丰科技11城达人齐聚北京卫视!录制“主动健康达人秀”分享会

骏丰科技11城达人齐聚北京卫视!录制“主动健康达人秀”分享会

12月19日,北京广播电视台演播厅内掌声雷动,由北京卫视《我是大医生》联合骏丰科技共同打造的主动健康分享会成功举办。历经...
精准营养引领者,金玖生物以科技创新筑就健康高地

精准营养引领者,金玖生物以科技创新筑就健康高地

在大健康产业蓬勃发展的今天,精准营养已成为守护生命健康的核心赛道。贵州金玖生物技术有限公司(以下简称“金玖生物”)秉持“...
安士微后生元蜜舒系列焕新升级!引领女性全维健康新范式

安士微后生元蜜舒系列焕新升级!引领女性全维健康新范式

当代女性对健康的需求愈发多元细分,从私密舒适、皮肤透亮到母婴安康、口腔清新,同时渴望用简单便捷的方式实现全维养护。安士微...
济南雅莲堂:互联网+中医的破局者,圈粉无数

济南雅莲堂:互联网+中医的破局者,圈粉无数

当《“十四五”数字经济发展规划》将“互联网+医疗健康”列为重点发展方向,中医药行业正迎来一场深刻的变革。在济南,雅莲堂中...
好医生云医疗登榜2025四川服务业百强,以新质生产力赋能医疗普惠

好医生云医疗登榜2025四川服务业百强,以新质生产力赋能医疗普惠

近日,2025 四川大企业大集团发展大会在成都隆重召开,大会正式发布了四川省五大领域百强企业榜单,好医生云医疗集团旗下子...
李金辉诊所  以民间中医智慧,解邻里健康难题​

李金辉诊所 以民间中医智慧,解邻里健康难题​

在四川省绵阳市高新区,有一家扎根社区、专注中医诊疗的诊所 —— 李金辉诊所。多年来,诊所始终以传统中医为根基,通过中药、...
2025中医药养生保健产业促进大会在厦门召开

2025中医药养生保健产业促进大会在厦门召开

人民政协网厦门9月22日电为切实把中医药这一祖先留给我们的宝贵财富继承好、发展好、利用好,推动药食同源与中医药养生保健产...
响应“健康中国”,重塑保险价值:中英人寿“悦养健康”的战略升维与生态实践

响应“健康中国”,重塑保险价值:中英人寿“悦养健康”的战略升维与生态实践

当“健康中国”从国家规划逐渐融入每个人的生活,当大家对于健康的期待不再只是事后的经济补偿,而是全程的守护与陪伴,一场关乎...
远程监管,科学控糖——成都棠宁诊所全新“4C疗法”来袭!

远程监管,科学控糖——成都棠宁诊所全新“4C疗法”来袭!

根据中国疾病预防控制中心慢病中心最新研究报告显示,中国20岁以上糖尿病患者已达到2.33亿,且部分患者或已出现至少一种并...
返回顶部